就医指南
发布时间 : 2022-05-13点击量: []次 编辑: 宣传部 作者:
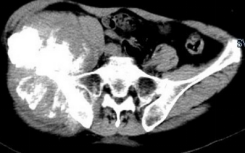
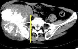
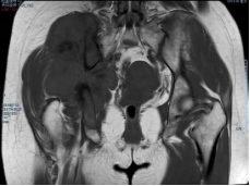
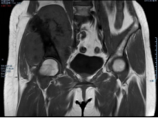
术前影像
穿刺活检提示骨盆软骨肉瘤
术前截骨规划
3D打印假体设计
术后影像
日前,安医大一附院骨病骨肿瘤外科胡勇教授团队成功完成一例复杂骨盆Ⅰ+Ⅱ+Ⅲ+Ⅳ区肿瘤切除与3D打印组配式半骨盆假体重建手术。患者为女性,53岁,下腰痛半年余,右侧臀部膨隆,右侧下肢轻度浮肿。右侧髂棘髂窝及臀部可触及巨大肿物,压痛明显,右髋外展前屈活动受限,右侧大腿感觉麻木,右足感觉运动正常。骨盆肿瘤切除重建是骨科专业中难度极大、风险极高的手术。骨盆肿瘤约占原发骨肿瘤的3%~4%,其中以软骨系统肿瘤最为多见,其次为骨巨细胞瘤、成骨肉瘤等,儿童尤文肉瘤亦好发于骨盆。
骨盆恶性肿瘤常潜在发展,由于骨盆位置较深,肿瘤早期很难发现,从第一次出现症状到诊断明确有时需要很长时间,当出现临床症状时,肿瘤体积已较大,因而手术切除相当困难。骨盆肿瘤血供丰富,手术出血多、难度大。另外,骨盆形态特殊,解剖复杂,切除肿瘤的同时,需要重建骨盆结构和肢体功能,技术要求高。
据主刀医师徐生林介绍,本例病例将整个右侧半骨盆Ⅰ+Ⅱ+Ⅲ+Ⅳ区(累及骶骨)进行整块切除,同时切除肿瘤覆盖的部分骶骨。3D打印假体所有骨接触界面均设计为骨整合结构,有利于骨长入和骨盆假体的永久稳定。耻、坐骨结构不规则,因此设计组配式结构,有利于术中操作,极大地方便了术中的假体安装。
3D打印技术的出现,使骨肿瘤的精准切除成为了可能,3D打印制造技术能够很好地适形匹配肿瘤切除后的骨结构,通过假体-骨接触面的特殊制造技术达到假体-骨整合,解决了骨肿瘤切除后大段骨关节缺损的重建问题,在生物力学重建和功能重建上比常规假体优势明显。3D打印假体使骨肿瘤切除重建进入“个性化、精准化、私人定制”时代。
近年来,安徽医科大学第一附属医院骨病骨肿瘤病区在胡勇教授的带领下,已完成多例3D打印定制假体重建手术,涵盖了骨盆骶骨、胫骨股骨、肩肘关节、髋膝关节等。利用个性化3D打印假体,可以做到精准化肿瘤切除和假体安装,在保证肿瘤切除边界的前提下达到骨与软组织结构的生物力学重建,最大限度保留患肢功能,极大提高了患者的生存质量,延长了患者的生存周期,是我院的特色医疗技术之一。
供稿 徐生林
编辑 江默
Copyright © 2020 www.ayfy.com 版权所有 安徽医科大学第一附属医院 技术支持:博达软件