就医指南
发布时间 : 2024-05-28点击量: []次 编辑: 宣传部 作者:
近日,我院介入科在医院南区成功应用“复合冷热消融技术”治疗肝脏肿瘤,手术在局部麻醉下顺利完成,治疗全程无痛感,术后第2天患者就顺利出院。
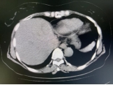
术前影像
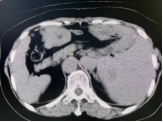
术中影像
病灶 毗邻心脏
60岁的胡女士因结肠癌于2023年1月接受了肝左外叶切除+右半结肠切除+肝右叶肿瘤切除手术,2023年12月复查时发现肝脏出现新的占位,考虑为术后肝内多发转移,一处病灶靠近心脏位置,另外一处病灶靠近肾脏,如若再次手术,不仅创伤大,而且对术后病人的康复不利,胡女士慕名来到我院介入科,团队通过仔细评估并组织讨论,与胡女士及家属充分沟通,决定采用“复合式冷热消融术”创新治疗方法。
介入科团队在CT影像监测与引导下,准确将消融探针插入肿瘤内,将肿瘤组织迅速冷却至-196℃,使癌细胞迅速降温,形成的“冰球”效应能够让医生直观监控,精细控制冷冻范围,确保完全覆盖肿瘤病灶并进行杀伤,冰冻后迅速复温至80℃,导致组织内肿瘤细胞脱水破裂,肿瘤细胞迅速死亡。
一根直径2毫米的探针,在-196℃到80℃之间切换,提供冷热交替近300℃的温差,从而在冰火两重天中彻底“消灭”肿瘤。“复合式冷热消融术”创新治疗方法具备创伤小,安全性、有效性高、术后恢复快、可激活人体免疫等优点,可联合放化疗、免疫治疗等等其他治疗手段,对于肺癌咯血等疑难病例,与支气管动脉栓塞术(bronchial artery embolization,BAE)联合治疗,也取得良好的临床效果。
我院介入科已成功开展多例应用“复合冷热消融技术”治疗肝脏肿瘤、肺部肿瘤,对于不能切、不宜切、不愿切、不敢切的肿瘤患者提供了微创治疗方案,为肿瘤患者带来新希望。
图文/介入科 施万印
编辑 党委宣传部 杨晓娟
Copyright © 2020 www.ayfy.com 版权所有 安徽医科大学第一附属医院 技术支持:博达软件